SmudgeCellThis abnormal WBCmorphology is associatedwith chronic lymphocyticleukemia and are remnantsof cells that lack anyidentifiable cytoplasmicmembrane or nuclearstructure. Adding 22%bovine albumin to the bloodsample prior to making thebloodPromyelocyteIn this stage of WBCmaturation, theproduction of primarygranules begins. Thechromatin is slightlycondensing, and 1-3nucleoli may bevisible.AuerrodsThese red, stainingneedle-like inclusionsresult from theabnormal fusion ofprimary granules andis often seen in thecytoplasm ofmyeloblasts.PMFBone marrowfibrosis teardrops seen onblood smear."Dry Tap"ToxicVacuolizationThis toxic changeresults in colorlessareas in thecytoplasm thatindicate phagocytosisand degranulationhave occurred. LeukemoidreactionThis is a benign,extreme orexaggerated responseto an infection orstimulus accompaniedby a shift to the left andtoxic changes toneutrophils.MetamyelocyteIn this stage of WBCmaturation, the nucleus isindented <1/2 the width ofthe hypothetical roundnucleus. Nucleoli areabsent the chromatin iscoarse and clumped.Cytoplasm is pink withmany secondary granules.ToxicGranulationThis toxic changeconsists ofprominent largeblue-black granulesdue to persistentstaining of primarygranules.CML<20% blasts in BMlow LAP leukocytosiswith left shift in WBC.predominant cells areneutrophils andmyelocytes.Philadelphiachromosome.BandIn this stage of WBCmaturation, thenucleus is indented>1/2 the width of thehypothetical roundnucleus. The nucleusis shaped like “C, S,or U”.PVmyeloproliferativeneoplasmsassociated witherythroid cell lineJak2 mutationHairy CellLeukemiaThis type of Blymphocyte hasabnormal cytoplasmicprojections that appear“hairy” under themicroscope. TRAPstain used forconfirmation.ETMyeloproliferativeneoplasmsinvolved withmegakaryocyticcell lineHodgkinLymphomaReed sternbergcells arepresent. Seenin youngerpopulation,good prognosisBasophilIncreases in thistype of WBC can beseen in type 1hypersensitivityreactions. Thegranules of this cellcontain histamine.HypersegmentedThis type ofneutrophil has>5 lobes and isassociated withmegaloblasticanemia.BlastThis cell is the earliestrecognizablegranulocyte precursor.The nucleus is round,centrally located withlightly packedchromatin and 2-5nucleoli.EosinophilIncreases inthis type ofWBC can beseen in allergicand parasiticinfections.ALLNeutropenia.Lymphoblastscirculating.primarily in youngchildren. May beCNS involvementMultipleMyelomaa plasma cellcancer marked bymonoclonal IgG,normal anemia withrouleaux and highESR, plus BenceJones light chains.MonocyteIncreases in this type ofWBC can be seen intuberculosis, someautoimmune diseases,and irritable bowelsyndrome. Thecytoplasm has a ground-glass appearance andmay contain vacuoles.AMLCD 33 and CD 13seen in adultsmedium to largemyeloblasts.MPO positiveSBB positive  MyelocyteIn this stage of WBCmaturation, the productionof secondary granulesbegins, and granulocytescan be differentiated intoneutrophils, basophils, andeosinophils. The cell hasan eccentric nucleus with aprominent perinuclearclearing beside theCLLclumped chromatin"cracked"appearance.presence of smudgecells. can make analbumin smear. manypatients have noapparent symptoms.SmudgeCellThis abnormal WBCmorphology is associatedwith chronic lymphocyticleukemia and are remnantsof cells that lack anyidentifiable cytoplasmicmembrane or nuclearstructure. Adding 22%bovine albumin to the bloodsample prior to making thebloodPromyelocyteIn this stage of WBCmaturation, theproduction of primarygranules begins. Thechromatin is slightlycondensing, and 1-3nucleoli may bevisible.AuerrodsThese red, stainingneedle-like inclusionsresult from theabnormal fusion ofprimary granules andis often seen in thecytoplasm ofmyeloblasts.PMFBone marrowfibrosis teardrops seen onblood smear."Dry Tap"ToxicVacuolizationThis toxic changeresults in colorlessareas in thecytoplasm thatindicate phagocytosisand degranulationhave occurred. LeukemoidreactionThis is a benign,extreme orexaggerated responseto an infection orstimulus accompaniedby a shift to the left andtoxic changes toneutrophils.MetamyelocyteIn this stage of WBCmaturation, the nucleus isindented <1/2 the width ofthe hypothetical roundnucleus. Nucleoli areabsent the chromatin iscoarse and clumped.Cytoplasm is pink withmany secondary granules.ToxicGranulationThis toxic changeconsists ofprominent largeblue-black granulesdue to persistentstaining of primarygranules.CML<20% blasts in BMlow LAP leukocytosiswith left shift in WBC.predominant cells areneutrophils andmyelocytes.Philadelphiachromosome.BandIn this stage of WBCmaturation, thenucleus is indented>1/2 the width of thehypothetical roundnucleus. The nucleusis shaped like “C, S,or U”.PVmyeloproliferativeneoplasmsassociated witherythroid cell lineJak2 mutationHairy CellLeukemiaThis type of Blymphocyte hasabnormal cytoplasmicprojections that appear“hairy” under themicroscope. TRAPstain used forconfirmation.ETMyeloproliferativeneoplasmsinvolved withmegakaryocyticcell lineHodgkinLymphomaReed sternbergcells arepresent. Seenin youngerpopulation,good prognosisBasophilIncreases in thistype of WBC can beseen in type 1hypersensitivityreactions. Thegranules of this cellcontain histamine.HypersegmentedThis type ofneutrophil has>5 lobes and isassociated withmegaloblasticanemia.BlastThis cell is the earliestrecognizablegranulocyte precursor.The nucleus is round,centrally located withlightly packedchromatin and 2-5nucleoli.EosinophilIncreases inthis type ofWBC can beseen in allergicand parasiticinfections.ALLNeutropenia.Lymphoblastscirculating.primarily in youngchildren. May beCNS involvementMultipleMyelomaa plasma cellcancer marked bymonoclonal IgG,normal anemia withrouleaux and highESR, plus BenceJones light chains.MonocyteIncreases in this type ofWBC can be seen intuberculosis, someautoimmune diseases,and irritable bowelsyndrome. Thecytoplasm has a ground-glass appearance andmay contain vacuoles.AMLCD 33 and CD 13seen in adultsmedium to largemyeloblasts.MPO positiveSBB positive  MyelocyteIn this stage of WBCmaturation, the productionof secondary granulesbegins, and granulocytescan be differentiated intoneutrophils, basophils, andeosinophils. The cell hasan eccentric nucleus with aprominent perinuclearclearing beside theCLLclumped chromatin"cracked"appearance.presence of smudgecells. can make analbumin smear. manypatients have noapparent symptoms.

WBC Bingo - Call List

(Print) Use this randomly generated list as your call list when playing the game. There is no need to say the BINGO column name. Place some kind of mark (like an X, a checkmark, a dot, tally mark, etc) on each cell as you announce it, to keep track. You can also cut out each item, place them in a bag and pull words from the bag.


1
2
3
4
5
6
7
8
9
10
11
12
13
14
15
16
17
18
19
20
21
22
23
24
  1. This abnormal WBC morphology is associated with chronic lymphocytic leukemia and are remnants of cells that lack any identifiable cytoplasmic membrane or nuclear structure. Adding 22% bovine albumin to the blood sample prior to making the blood
    Smudge Cell
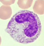
  2. In this stage of WBC maturation, the production of primary granules begins. The chromatin is slightly condensing, and 1-3 nucleoli may be visible.
    Promyelocyte
  3. These red, staining needle-like inclusions result from the abnormal fusion of primary granules and is often seen in the cytoplasm of myeloblasts.
    Auer rods
  4. Bone marrow fibrosis tear drops seen on blood smear. "Dry Tap"
    PMF
  5. This toxic change results in colorless areas in the cytoplasm that indicate phagocytosis and degranulation have occurred.
    Toxic Vacuolization
  6. This is a benign, extreme or exaggerated response to an infection or stimulus accompanied by a shift to the left and toxic changes to neutrophils.
    Leukemoid reaction
  7. In this stage of WBC maturation, the nucleus is indented <1/2 the width of the hypothetical round nucleus. Nucleoli are absent the chromatin is coarse and clumped. Cytoplasm is pink with many secondary granules.
    Metamyelocyte
  8. This toxic change consists of prominent large blue-black granules due to persistent staining of primary granules.
    Toxic Granulation
  9. <20% blasts in BM low LAP leukocytosis with left shift in WBC. predominant cells are neutrophils and myelocytes. Philadelphia chromosome.
    CML
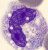
  10. In this stage of WBC maturation, the nucleus is indented >1/2 the width of the hypothetical round nucleus. The nucleus is shaped like “C, S, or U”.
    Band
  11. myeloproliferative neoplasms associated with erythroid cell line Jak2 mutation
    PV
  12. This type of B lymphocyte has abnormal cytoplasmic projections that appear “hairy” under the microscope. TRAP stain used for confirmation.
    Hairy Cell Leukemia
  13. Myeloproliferative neoplasms involved with megakaryocytic cell line
    ET
  14. Reed sternberg cells are present. Seen in younger population, good prognosis
    Hodgkin Lymphoma
  15. Increases in this type of WBC can be seen in type 1 hypersensitivity reactions. The granules of this cell contain histamine.
    Basophil
  16. This type of neutrophil has >5 lobes and is associated with megaloblastic anemia.
    Hypersegmented
  17. This cell is the earliest recognizable granulocyte precursor. The nucleus is round, centrally located with lightly packed chromatin and 2-5 nucleoli.
    Blast
  18. Increases in this type of WBC can be seen in allergic and parasitic infections.
    Eosinophil
  19. Neutropenia. Lymphoblasts circulating. primarily in young children. May be CNS involvement
    ALL
  20. a plasma cell cancer marked by monoclonal IgG, normal anemia with rouleaux and high ESR, plus Bence Jones light chains.
    Multiple Myeloma
  21. Increases in this type of WBC can be seen in tuberculosis, some autoimmune diseases, and irritable bowel syndrome. The cytoplasm has a ground-glass appearance and may contain vacuoles.
    Monocyte
  22. CD 33 and CD 13 seen in adults medium to large myeloblasts. MPO positive SBB positive
    AML
  23. In this stage of WBC maturation, the production of secondary granules begins, and granulocytes can be differentiated into neutrophils, basophils, and eosinophils. The cell has an eccentric nucleus with a prominent perinuclear clearing beside the
    Myelocyte
  24. clumped chromatin "cracked" appearance. presence of smudge cells. can make an albumin smear. many patients have no apparent symptoms.
    CLL