Reticulocyte5th stage ofErythropoiesisSpleenThis organharborsabout 1/3 ofthe WBCpopulation.Promegakaryocyte2nd stage ofMegakaryopoiesisPronormoblast1st stage ofErythropoiesis& anothername forRubriblastHematologyThe study offormedcellularbloodelements.LeukocyteAnothername fora WBCFeatheredEdgeA bloodsmearshould beread in thisarea.MesoblasticPeriodTime periodfor whichhematopoiesisoccurs in theyolk sac.Picture ofa BandNeutrophilEDTAAnticoagulantused inlavendertubes.SerumThe liquidportion ofblood from aclottedspecimen.Metamyelocyte4th stage ofLeukopoiesisMyeloblast1st stage ofLeukopoiesisLymphoblast1st stage ofLymphopoiesis5-10x10³/ulAdultWBCReferenceRangeBand5th stage ofLeukopoiesisMegakaryoblast1st stage ofMegakaryopoiesisThrombopoietinThe cytokineresponsible forinitiatingThrombopoiesisOrthochromicNormoblast4th stage ofErythropoiesis& anothername forMetarubricyteWright'sStainThe stainused for abloodsmear.Picture of aLymphocyteFormedElementsMake up 45%of blood.Consists ofRBCs, WBCs,and Platelets.Monocyte3rd stage ofMonopoiesisPromyelocyte2nd stage ofLeukopoiesisMonoblast1st stage ofMonopoiesisPicture ofanEosinophil4.2-5.4(females)4.7-6.1(males)AdultRBCReferenceRangeMyelocyte3rd stage ofLeukopoiesisProlymphocyte2nd stage ofLymphopoiesisPictureof aBasophilHepaticPeriodTime period forwhichhematopoiesisoccurs in theliver andspleen.HematopoiesisDynamicformation anddevelopment ofblood cells,normally in thebone marrowSeg6th stage ofLeukopoiesis100xObjectiveObjectivein whichoil shouldbe used.DiapedesisThemigrating ofleukocytesfrom PB totissue.ErythropoietinThe cytokineresponsiblefor initiatingErythropoiesisPlatelet4th stage ofMegakaryopoiesisErythrocyteAnothername fora RBC.150-450x10³/ulAdultPlateletReferenceRangeLymphocyte3rd stage ofLymphopoiesisThrombocyteAnothername fora PlateletNeutrophils,Eosinophils,BasophilsTypes ofGranulocytesPromonocyte2nd stage ofMonopoiesisPicture ofa Seg.NeutrophilPicture ofaMonocytePolychromatophilicNormoblast3rd stage ofErythropoiesis& anothername forRubricyteBasophilicNormoblast2nd stage ofErythropoiesis& anothername forProrubricytePlasmaMakes up 55%of blood.Consists of92% water and8% solutes.Megakaryocyte3rd stage ofMegakaryopoiesisReticulocyte5th stage ofErythropoiesisSpleenThis organharborsabout 1/3 ofthe WBCpopulation.Promegakaryocyte2nd stage ofMegakaryopoiesisPronormoblast1st stage ofErythropoiesis& anothername forRubriblastHematologyThe study offormedcellularbloodelements.LeukocyteAnothername fora WBCFeatheredEdgeA bloodsmearshould beread in thisarea.MesoblasticPeriodTime periodfor whichhematopoiesisoccurs in theyolk sac.Picture ofa BandNeutrophilEDTAAnticoagulantused inlavendertubes.SerumThe liquidportion ofblood from aclottedspecimen.Metamyelocyte4th stage ofLeukopoiesisMyeloblast1st stage ofLeukopoiesisLymphoblast1st stage ofLymphopoiesis5-10x10³/ulAdultWBCReferenceRangeBand5th stage ofLeukopoiesisMegakaryoblast1st stage ofMegakaryopoiesisThrombopoietinThe cytokineresponsible forinitiatingThrombopoiesisOrthochromicNormoblast4th stage ofErythropoiesis& anothername forMetarubricyteWright'sStainThe stainused for abloodsmear.Picture of aLymphocyteFormedElementsMake up 45%of blood.Consists ofRBCs, WBCs,and Platelets.Monocyte3rd stage ofMonopoiesisPromyelocyte2nd stage ofLeukopoiesisMonoblast1st stage ofMonopoiesisPicture ofanEosinophil4.2-5.4(females)4.7-6.1(males)AdultRBCReferenceRangeMyelocyte3rd stage ofLeukopoiesisProlymphocyte2nd stage ofLymphopoiesisPictureof aBasophilHepaticPeriodTime period forwhichhematopoiesisoccurs in theliver andspleen.HematopoiesisDynamicformation anddevelopment ofblood cells,normally in thebone marrowSeg6th stage ofLeukopoiesis100xObjectiveObjectivein whichoil shouldbe used.DiapedesisThemigrating ofleukocytesfrom PB totissue.ErythropoietinThe cytokineresponsiblefor initiatingErythropoiesisPlatelet4th stage ofMegakaryopoiesisErythrocyteAnothername fora RBC.150-450x10³/ulAdultPlateletReferenceRangeLymphocyte3rd stage ofLymphopoiesisThrombocyteAnothername fora PlateletNeutrophils,Eosinophils,BasophilsTypes ofGranulocytesPromonocyte2nd stage ofMonopoiesisPicture ofa Seg.NeutrophilPicture ofaMonocytePolychromatophilicNormoblast3rd stage ofErythropoiesis& anothername forRubricyteBasophilicNormoblast2nd stage ofErythropoiesis& anothername forProrubricytePlasmaMakes up 55%of blood.Consists of92% water and8% solutes.Megakaryocyte3rd stage ofMegakaryopoiesis

Hematology Bingo - Call List

(Print) Use this randomly generated list as your call list when playing the game. There is no need to say the BINGO column name. Place some kind of mark (like an X, a checkmark, a dot, tally mark, etc) on each cell as you announce it, to keep track. You can also cut out each item, place them in a bag and pull words from the bag.


1
2
3
4
5
6
7
8
9
10
11
12
13
14
15
16
17
18
19
20
21
22
23
24
25
26
27
28
29
30
31
32
33
34
35
36
37
38
39
40
41
42
43
44
45
46
47
48
49
  1. 5th stage of Erythropoiesis
    Reticulocyte
  2. This organ harbors about 1/3 of the WBC population.
    Spleen
  3. 2nd stage of Megakaryopoiesis
    Promegakaryocyte
  4. 1st stage of Erythropoiesis & another name for Rubriblast
    Pronormoblast
  5. The study of formed cellular blood elements.
    Hematology
  6. Another name for a WBC
    Leukocyte
  7. A blood smear should be read in this area.
    Feathered Edge
  8. Time period for which hematopoiesis occurs in the yolk sac.
    Mesoblastic Period
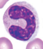
  9. Picture of a Band Neutrophil
  10. Anticoagulant used in lavender tubes.
    EDTA
  11. The liquid portion of blood from a clotted specimen.
    Serum
  12. 4th stage of Leukopoiesis
    Metamyelocyte
  13. 1st stage of Leukopoiesis
    Myeloblast
  14. 1st stage of Lymphopoiesis
    Lymphoblast
  15. Adult WBC Reference Range
    5-10 x10³/ul
  16. 5th stage of Leukopoiesis
    Band
  17. 1st stage of Megakaryopoiesis
    Megakaryoblast
  18. The cytokine responsible for initiating Thrombopoiesis
    Thrombopoietin
  19. 4th stage of Erythropoiesis & another name for Metarubricyte
    Orthochromic Normoblast
  20. The stain used for a blood smear.
    Wright's Stain
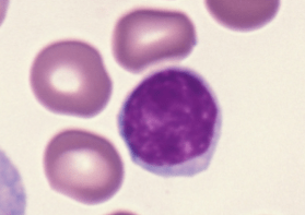
  21. Picture of a Lymphocyte
  22. Make up 45% of blood. Consists of RBCs, WBCs, and Platelets.
    Formed Elements
  23. 3rd stage of Monopoiesis
    Monocyte
  24. 2nd stage of Leukopoiesis
    Promyelocyte
  25. 1st stage of Monopoiesis
    Monoblast
  26. Picture of an Eosinophil
  27. Adult RBC Reference Range
    4.2-5.4 (females) 4.7-6.1 (males)
  28. 3rd stage of Leukopoiesis
    Myelocyte
  29. 2nd stage of Lymphopoiesis
    Prolymphocyte
  30. Picture of a Basophil
  31. Time period for which hematopoiesis occurs in the liver and spleen.
    Hepatic Period
  32. Dynamic formation and development of blood cells, normally in the bone marrow
    Hematopoiesis
  33. 6th stage of Leukopoiesis
    Seg
  34. Objective in which oil should be used.
    100x Objective
  35. The migrating of leukocytes from PB to tissue.
    Diapedesis
  36. The cytokine responsible for initiating Erythropoiesis
    Erythropoietin
  37. 4th stage of Megakaryopoiesis
    Platelet
  38. Another name for a RBC.
    Erythrocyte
  39. Adult Platelet Reference Range
    150-450 x10³/ul
  40. 3rd stage of Lymphopoiesis
    Lymphocyte
  41. Another name for a Platelet
    Thrombocyte
  42. Types of Granulocytes
    Neutrophils, Eosinophils, Basophils
  43. 2nd stage of Monopoiesis
    Promonocyte
  44. Picture of a Seg. Neutrophil
  45. Picture of a Monocyte
  46. 3rd stage of Erythropoiesis & another name for Rubricyte
    Polychromatophilic Normoblast
  47. 2nd stage of Erythropoiesis & another name for Prorubricyte
    Basophilic Normoblast
  48. Makes up 55% of blood. Consists of 92% water and 8% solutes.
    Plasma
  49. 3rd stage of Megakaryopoiesis
    Megakaryocyte